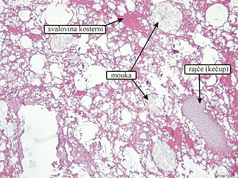
Barvení: hematoxylin - eozin

Párek s kečupem

Strana 100
4 Drobné masné výrobky


Obsah knihy       Obsah kapitoly